کیسه صفرا، اندامی کوچک و گلابیشکل در زیر کبد است که صفرای ترشحشده از کبد را ذخیره میکند. صفرا، مایعی گوارشی است که به هضم چربیها کمک میکند. اما گاه، ترکیبات صفرا به سنگهای سخت تبدیل میشوند که سنگ کیسه صفرا نامیده میشوند. سنگ کیسه صفرا، رنج خاموشی است که گاه با دردهای طاقتفرسا، زندگی را دشوار میسازد. در این مقاله از دکتر مایکو، به بررسی ماهیت سنگ کیسه صفرا، علائم و راههای درمان آن میپردازیم.

سنگ کیسه صفرا چیست؟
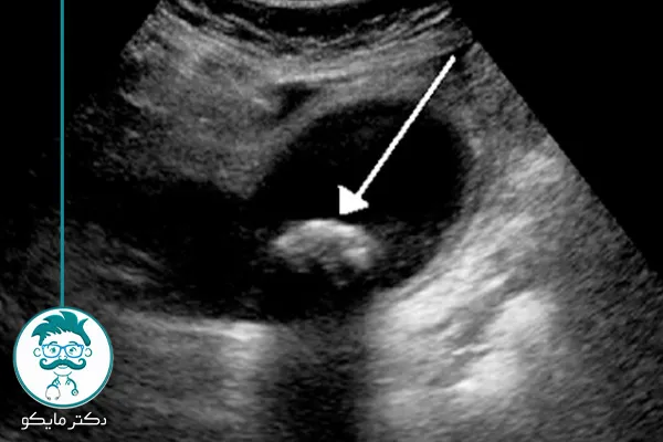
این سنگ ها که باعث یکی از انواع بیماری های گوارشی می شوند، رسوبات سختشدهای هستند که در کیسه صفرا تشکیل میشوند. سنگهای صفراوی از مواد مختلفی تشکیل شدهاند، اما شایعترین نوع آن ها از کلسترول تشکیل شده است. سایر انواع سنگهای صفراوی شامل سنگهای بیلیروبین و سنگهای مخلوط هستند.

علت سنگ کیسه صفرا در زنان و مردان
عوامل متعددی میتوانند در تشکیل سنگ کیسه صفرا در زنان و مردان نقش داشته باشند. برخی از این عوامل بیماری کیسه صفرا در هر دو جنس مشترک هستند، اما برخی دیگر مختص به یک جنس هستند.
| عوامل مشترک در زنان و مردان | سطوح بالای کلسترول در صفرا چاقی سطوح بالای بیلیروبین در صفرا عدم تخلیهی کامل کیسه صفرا دیابت سابقه خانوادگی سنگ کیسه صفرا |
| عوامل خاص در زنان | هورمونهای زنانه بارداری مصرف قرص ضد بارداری |
| عوامل خاص در مردان | کاهش وزن ناگهانی مصرف الکل بیماری های کبدی |

سنگ کیسه صفرا چگونه تشکیل می شود؟
تشکیل سنگ کیسه صفرا زمانی اتفاق میافتد که مواد تشکیلدهندهی صفرا از حالت تعادل خارج میشوند. مراحل تشکیل سنگ کیسه صفرا به شرح زیر است:
رسوب مواد
کلسترول: کلسترول اضافی در صفرا میتواند به کریستال تبدیل شود.
بیلیروبین: سطوح بالای بیلیروبین میتواند منجر به تشکیل سنگهای بیلیروبین شود.
مواد دیگر: کلسیم، فسفات و سایر مواد نیز میتوانند در تشکیل سنگ کیسه صفرا نقش داشته باشند.
تجمع رسوبات
کریستالهای کلسترول و سایر مواد به یکدیگر میچسبند و تودههای کوچکی را تشکیل میدهند. این تودهها به مرور زمان بزرگتر میشوند و به سنگ تبدیل میشوند.
انسداد مجاری
سنگهای کیسه صفرا میتوانند مجاری صفراوی را که صفرا را از کبد به روده کوچک منتقل میکنند، مسدود کنند. انسداد مجاری صفراوی میتواند منجر به درد شدید، تهوع و استفراغ شود.

علائم سنگ کیسه صفرا در زنان و مردان
علائم سنگ کیسه صفرا در زنان و مردان تقریبا مشابه است. شایعترین علائم عبارتند از:
دل درد ناگهانی و شدید در قسمت فوقانی راست شکم یا پشت: این درد میتواند به شانه راست یا کتف نیز انتشار یابد.
تهوع و استفراغ: تهوع و استفراغ معمولا بعد از خوردن غذاهای چرب اتفاق میافتد.
حساسیت به لمس در قسمت فوقانی راست شکم: لمس این قسمت میتواند دردناک باشد.
سوءهاضمه: سوءهاضمه میتواند شامل نفخ، سوزش سر دل و احساس پری بعد از غذا خوردن باشد.
نفخ: نفخ شکم میتواند به دلیل انسداد مجاری صفراوی توسط سنگ کیسه صفرا باشد.
از دست دادن اشتها: درد و ناراحتی گوارشی میتواند منجر به از دست دادن اشتها شود.
ایا سنگ کیسه صفرا خطرناک است؟
سنگ کیسه صفرا میتواند خطرناک باشد، اما در همهی موارد اینطور نیست. در برخی موارد، سنگ کیسه صفرا میتواند منجر به عوارض جدی مانند پانکراتیت، کلانژیت و انسداد روده شود.
عوامل خطر
- سنگهای بزرگتر
- سنگهایی که در مجاری صفراوی قرار میگیرند
- سنگهایی که علائمی مانند درد شدید، تهوع و استفراغ ایجاد میکنند.

اندازه های سنگ کیسه صفرا
سنگهای کیسه صفرا در اندازههای مختلف وجود دارند و گاه بدون علامت هستند.
چه اندازه سنگ صفرا نیاز به جراحی دارد؟
اندازهی سنگ صفرا برای عمل، یکی از عوامل تاثیرگذار است. به طور کلی، سنگهای کیسه صفرا که کوچکتر از 1 سانتیمتر هستند، به ندرت نیاز به جراحی دارند.
در موارد زیر، جراحی برای برداشتن کیسه صفرا توصیه میشود:
- سنگهای کیسه صفرا که بزرگتر از 3 سانتیمتر هستند.
- سنگهای کیسه صفرا که علائمی مانند درد شدید، تهوع و استفراغ ایجاد میکنند.
- سنگهای کیسه صفرا که به درمانهای دیگر مانند دارودرمانی یا درمان با امواج شوک پاسخ نمیدهند.
اندازهی طبیعی سنگ کیسه صفرا
اندازهی نرمال سنگ کیسه صفرا معمولا کمتر از 1 سانتیمتر است. همانطور که گفتیم این سنگها، نیازی به جراحی ندارند و میتوانند به طور طبیعی از طریق مجاری صفراوی دفع شوند. هرچند سنگهای کیسه صفرا که بزرگتر از 1 سانتیمتر هستند، بیشتر در معرض خطر ایجاد عوارض هستند.

سنگ کیسه صفرا 7 میلی
سنگ کیسه صفرای 7 میلیمتری، رسوب سختشدهای به اندازهی 7 میلیمتر است که در کیسه صفرا تشکیل میشود. سنگ کیسه صفرا 7 میلیمتری کوچکتر از 1 سانتیمتر است و خطر کمتری دارد.
اگر سنگ کیسه صفرا را عمل نکنیم چه میشود؟
اگر را عمل نکنیم، احتمال بروز عوارض وجود دارد. این عوارض عبارتند از:
درد شدید: سنگهای کیسه صفرا میتوانند درد شدید و ناگهانی در قسمت فوقانی راست شکم یا پشت ایجاد کنند.
پانکراتیت: التهاب پانکراس که میتواند بسیار دردناک و حتی کشنده باشد.
کلانژیت: التهاب مجاری صفراوی که میتواند منجر به عفونت شود.
انسداد روده: انسداد روده توسط سنگ که میتواند نادر اما کشنده باشد.

سنگ کیسه صفرا از طریق ادرار دفع میشود یا مدفوع؟
این سنگ از طریق مدفوع دفع میشود نه ادرار. سنگهای کیسه صفرا میتوانند به طور طبیعی از طریق مجاری صفراوی و رودهی کوچک دفع شوند. مجاری صفراوی، لولههایی هستند که صفرا را از کبد و کیسه صفرا به روده کوچک منتقل میکنند. در برخی موارد، سنگهای کیسه صفرا میتوانند در مجاری صفراوی گیر کنند و باعث انسداد شوند.
انواع راههای درمان سنگ صفرا
انتخاب روش درمان سنگ کیسه صفرا به عوامل مختلفی از جمله اندازه، تعداد سنگها، علائم بیمار و سلامت عمومی او بستگی دارد. روشهای رایج درمان سنگ کیسه صفرا عبارتند از:
عمل سنگ کیسه صفرا
دو روش برای عمل سنگ صفرا وجود دارد.
جراحی لاپاراسکوپی: روشی کمتهاجمی که با استفاده از چند برش کوچک انجام میشود.
جراحی باز: روشی سنتی که با استفاده از یک برش بزرگ در شکم انجام میشود.

ذوب کردن سنگ صفرا
ESWL از امواج شوک با فرکانس بالا برای تبدیل سنگهای کیسه صفرا به قطعات کوچکتر استفاده میکند که میتوانند به طور طبیعی دفع شوند. ESWL معمولا در درمان سنگهای کوچک کیسه صفرا که قطرشان کمتر از 3 سانتیمتر است، استفاده میشود.
قرص سنگ شکن کیسه صفرا: این داروها میتوانند به حل شدن سنگهای کوچک کیسه صفرا کمک کنند.
داروهای حل کنندهی سنگ صفرا:
اسید اورسودزوکسی کولیک (UDCA): این دارو به حل شدن سنگهای کلسترولی کمک میکند. UDCA معمولاً برای 6 تا 12 ماه مصرف میشود.
کلستیرامین: این دارو به جذب کلسترول از روده کمک میکند و میتواند به کاهش خطر تشکیل سنگهای کلسترولی کمک کند.

درمان سنگ کیسه صفرا در طب سنتی
طب سنتی روشهای مختلفی در مصرف گیاهان دارویی برای درمان سنگ صفرا ارائه میدهد. برخی از این روشها عبارتند از:
زردچوبه
دارای خواص ضدالتهابی و ضداسپاسمی است و میتواند به کاهش درد و التهاب کیسه صفرا کمک کند.
شاهتره
دارای خواص مدر و صفرابر است و میتواند به دفع صفرا و سموم از بدن کمک کند.
کاسنی
دارای خواص خنککننده و تصفیهکننده خون است و میتواند به کاهش التهاب کیسه صفرا کمک کند.
گل قاصدک
دارای خواص مدر و صفرابر است و میتواند به دفع صفرا و سموم از بدن کمک کند.
سیر
دارای خواص ضدالتهابی و ضد میکروبی است و میتواند به کاهش التهاب کیسه صفرا و جلوگیری از عفونت کمک کند.

برای دفع سنگ کیسه صفرا چه بخوریم؟
برای دفع سنگ کیسه صفرا، باید رژیم غذایی سالم و متعادلی داشته باشید که شامل موارد زیر باشد:
غذاهای کمچرب و کمکلسترول
مصرف زیاد چربی و کلسترول میتواند خطر ابتلا به سنگ کیسه صفرا را افزایش دهد.
- گوشتهای کمچرب مانند گوشت مرغ بدون پوست، ماهی و بوقلمون.
- لبنیات کمچرب، شیر کمچرب، ماست کمچرب و پنیر کمچرب
- روغنهای سالمی مانند روغن زیتون، روغن کانولا و روغن آفتابگردان
فیبر زیاد
فیبر میتواند به جذب کلسترول در روده کمک کند و خطر ابتلا به سنگ کیسه صفرا را کاهش دهد.
- میوههایی از جمله سیب، موز، پرتقال، توت فرنگی و انگور
- سبزیجاتی مثل سبزیجات برگ سبز، کلم بروکلی، هویج و کدو
- غلات کامل از جمله نان سبوسدار، برنج قهوهای و جو دوسر
آب زیاد
خوردن آب به حفظ رطوبت بدن و جلوگیری از غلیظ شدن صفرا کمک میکند. روزانه 8 تا 10 لیوان آب بنوشید.

آیا سنگ کیسه صفرا باعث لاغری میشود؟
سنگ صفرا میتواند به طور غیرمستقیم باعث لاغری شود. دلایل این امر عبارتند از:
درد و ناراحتی
سنگ کیسه صفرا میتواند باعث درد شدید در قسمت فوقانی راست شکم یا پشت شود. این درد میتواند اشتها را کاهش و منجر به کاهش وزن شود.
مشکلات گوارشی
سنگ کیسه صفرا میتواند هضم چربیها را مختل کرده و منجر به نفخ، سوءهاضمه و اسهال شود. این مشکلات گوارشی میتوانند جذب مواد مغذی را کاهش و منجر به کاهش وزن شوند.

کاهش کالری دریافتی
افراد مبتلا به سنگ صفرا ممکن است به دلیل درد و ناراحتی یا مشکلات گوارشی، از خوردن غذاهای پرچرب و پرکالری اجتناب کنند که میتواند منجر به کاهش کالری دریافتی و کاهش وزن شود.
با این حال، لاغری ناشی از سنگ کیسه صفرا یک راه سالم برای کاهش وزن نیست. کاهش وزن ناگهانی میتواند خطرات سلامتی مانند کم آبی بدن، سوءتغذیه و سنگ کیسه صفرا را افزایش دهد. اگر دچار سنگ کیسه صفرا هستید، حتما با پزشک خود مشورت کنید تا بهترین روش درمانی را برای شما تعیین کند.
«اگر شما هم دچار سنگ کیسه صفرا شده اید و آن را درمان کرده اید، تجربه ی خود را از علائم و درمان آن با سایر خوانندگان این مقاله به اشتراک بگذارید.»

1 دیدگاه
سلام چند سالی هست بطور اتفاقی سنو از شکم گرفتم و باتشخیص دکتر سنگ صفرا باقطر 170سانت داشتم که با دارو رفع نشد ،هیچ دردی هم نداشتم دکتر دیگری اونم بطور اتفاقی براثر تپش قلب شدید رفتم سونو گرفتم که گفت سنگ صفرا داری 2 سانت، اگه دردی نداری فعلا عمل نکن ، بعداز تقریبا 7سال دردهای معده همراه با استفراغ شروع شد که با دارو هم خوب نمیشدم تا اینکه یک روز درد خیلی شدید شد در همون روز دکتر متخصص رفتم دارو ، سرم و امپول نوشت افاقه نکرد رفتم بیمارستان بازهم امپول مسکن و.. بازهم دردم تسکین نشد ، دوباره بعد از دوساعت رفتم بیمارستان شر حال که دادم سونو و ازمایش که گرفتن مشخص شد که دردم ناشی از سنگ صفرا هست که 2/50سانت هست واین درد ، درد معده نیست ، حالا منتظرم فردا برم دکتر جراح که تشخیص برای تشخیص نهایی که عمل را انجام بدم